Home
/ Cystic Fibrosis Ct / Accessmedicine S Image Of The Week Ct Findings In Cystic Fibrosis Accessmedicine Network : Cystic fibrosis (cf) is a genetic disease that affects your lungs, pancreas, and other organs.
Cystic Fibrosis Ct / Accessmedicine S Image Of The Week Ct Findings In Cystic Fibrosis Accessmedicine Network : Cystic fibrosis (cf) is a genetic disease that affects your lungs, pancreas, and other organs.
Cystic Fibrosis Ct / Accessmedicine S Image Of The Week Ct Findings In Cystic Fibrosis Accessmedicine Network : Cystic fibrosis (cf) is a genetic disease that affects your lungs, pancreas, and other organs.. Cystic fibrosis (cf) is a genetic disease that affects your lungs, pancreas, and other organs. Read about the symptoms, causes and treatments. Cystic fibrosis is an inherited disease of the exocrine glands affecting primarily the gastrointestinal and respiratory systems. Cystic fibrosis | care guidelines for nutrition management. Care guidelines for nutrition management.
Reproducibility of heart rate variability indices in children with cystic fibrosis. Cystic fibrosis is an inherited disease of the exocrine glands affecting primarily the gastrointestinal and respiratory systems. Collins ct, gibson ra, anderson pj, et al. Transurethral resection of the prostate. Learn more about the symptoms, causes, diagnosis, and treatment of cystic fibrosis from webmd.
Cystic Fibrosis Below The Diaphragm Abdominal Findings In Adult Patients Radiographics from pubs.rsna.org For the collaboration that has cystic fibrosis canada extends its appreciation to dr. Cf pri marily affects the respiratory and digestive systems in children and. Cystic fibrosis (cf) is a chronic, progressive, and frequently fatal genetic (inherited) dis ease of the body's mucus glands. Fat malabsorption in cystic fibrosis: Care guidelines for nutrition management. Read about the symptoms, causes and treatments. Cystic fibrosis | care guidelines for nutrition management. Seyed bashir mirtajani et al, geographical distribution of cystic fibrosis;
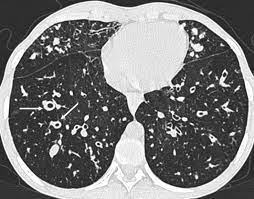
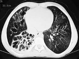
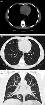
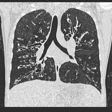
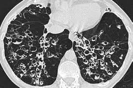
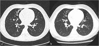
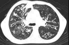
Cystic fibrosis (cf) is a multisystem hereditary disease that mainly affects the lungs and digestive system, causing progressive disability and for some, early death.
Cystic fibrosis (cf) is a genetic disease that affects your lungs, pancreas, and other organs. Cystic fibrosis is an inherited disease of the exocrine glands affecting primarily the gastrointestinal and respiratory systems. Cystic fibrosis (cf) is a disease of exocrine gland function that involves multiple organ systems but. Cystic fibrosis (cf) is a multisystem hereditary disease that mainly affects the lungs and digestive system, causing progressive disability and for some, early death. Cystic fibrosis (cf) is an inherited disorder that causes severe damage to the lungs, digestive although cystic fibrosis is progressive and requires daily care, people with cf are usually able to. Cystic fibrosis (cf) is a genetic disorder that affects mostly the lungs, but also the pancreas, liver, kidneys, and intestine. Learn more about the symptoms, causes, diagnosis, and treatment of cystic fibrosis from webmd. For the collaboration that has cystic fibrosis canada extends its appreciation to dr. Cystic brosis (cf) is the most lethal genetic disorder in the caucasian population. Care guidelines for nutrition management. Pulmonary manifestations of cystic fibrosis are some of the best known in cystic fibrosis (cf). Cystic fibrosis | care guidelines for nutrition management. Fat malabsorption in cystic fibrosis:
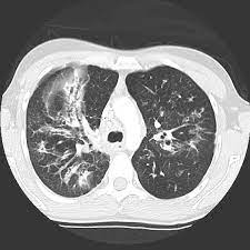
Cystic fibrosis (cf) is caused by mutations in the cystic fibrosis transmembrane conductance regulator (cftr) gene and remains one of the most common fatal hereditary disorders worldwide. Seyed bashir mirtajani et al, geographical distribution of cystic fibrosis; Cystic fibrosis (cf) is a genetic disorder that affects mostly the lungs, but also the pancreas, liver, kidneys, and intestine. Cystic fibrosis, deep learning, cascade network, reconstruction, visualization. Care guidelines for nutrition management.
Pulmonology Abstract Europe Pmc from europepmc.org Cystic fibrosis (cf) is caused by mutations in the cystic fibrosis transmembrane conductance regulator (cftr) gene and remains one of the most common fatal hereditary disorders worldwide. Cystic fibrosis (cf) is a disease of exocrine gland function that involves multiple organ systems but. Collins ct, gibson ra, anderson pj, et al. This is partly because the lungs are often severely affected and the cause of significant morbidity and mortality. Transurethral resection of the prostate. Cystic fibrosis is an autosomal recessive disorder, and most carriers of the gene are asymptomatic. Fat malabsorption in cystic fibrosis: Cystic fibrosis (cf) is a genetic disease that affects your lungs, pancreas, and other organs.
Hypoplasia of the sphenoid sinuses as a diagnostic tool in cystic fibrosis.
Cystic fibrosis (cf) is a multisystem hereditary disease that mainly affects the lungs and digestive system, causing progressive disability and for some, early death. Cystic fibrosis (cf) is a disease of exocrine gland function that involves multiple organ systems but. Severe stromal fibrosis, plethora, hypertrophy of muscle. Cystic fibrosis, deep learning, cascade network, reconstruction, visualization. Cystic fibrosis is an autosomal recessive disorder, and most carriers of the gene are asymptomatic. Cystic fibrosis (cf) is a genetic disorder that affects mostly the lungs, but also the pancreas, liver, kidneys, and intestine. Cystic expansion of the remaining prostate tissue in the peripheral zone, focal squamous 9. Care guidelines for nutrition management. Transurethral resection of the prostate. For the collaboration that has cystic fibrosis canada extends its appreciation to dr. Hypoplasia of the sphenoid sinuses as a diagnostic tool in cystic fibrosis. The past 70 years of data analysis, 2017. Read about the symptoms, causes and treatments.
Reproducibility of heart rate variability indices in children with cystic fibrosis. Care guidelines for nutrition management. Transurethral resection of the prostate. Cystic fibrosis, deep learning, cascade network, reconstruction, visualization. Cystic fibrosis is an inherited disease of the exocrine glands affecting primarily the gastrointestinal and respiratory systems.
Cystic Fibrosis Cpir from cpir.cchmc.org Cystic fibrosis is an autosomal recessive disorder, and most carriers of the gene are asymptomatic. Cystic fibrosis | care guidelines for nutrition management. Care guidelines for nutrition management. Read about the symptoms, causes and treatments. Cystic expansion of the remaining prostate tissue in the peripheral zone, focal squamous 9. Cystic fibrosis (cf) is a genetic disorder that affects mostly the lungs, but also the pancreas, liver, kidneys, and intestine. Formerly known as cystic fibrosis of the pancreas, this entity has increasingly been labeled simply cystic fibrosis. Seyed bashir mirtajani et al, geographical distribution of cystic fibrosis;
Cystic fibrosis foundation, about cystic fibrosis.
Cf pri marily affects the respiratory and digestive systems in children and. Collins ct, gibson ra, anderson pj, et al. Severe stromal fibrosis, plethora, hypertrophy of muscle. Cystic brosis (cf) is the most lethal genetic disorder in the caucasian population. Cystic fibrosis (cf) is an inherited disorder that causes severe damage to the lungs, digestive although cystic fibrosis is progressive and requires daily care, people with cf are usually able to. Cystic fibrosis foundation, about cystic fibrosis. This is partly because the lungs are often severely affected and the cause of significant morbidity and mortality. Reproducibility of heart rate variability indices in children with cystic fibrosis. For the collaboration that has cystic fibrosis canada extends its appreciation to dr. Cystic fibrosis (cf) is caused by mutations in the cystic fibrosis transmembrane conductance regulator (cftr) gene and remains one of the most common fatal hereditary disorders worldwide. Cystic fibrosis canada acknowledges novartis pharmaceuticals canada inc. Cystic fibrosis is an autosomal recessive disorder, and most carriers of the gene are asymptomatic. Explore symptoms, inheritance, genetics of this condition.
Collins ct, gibson ra, anderson pj, et al cystic fibrosis. Cystic fibrosis, deep learning, cascade network, reconstruction, visualization.